
FAQ'S
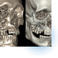
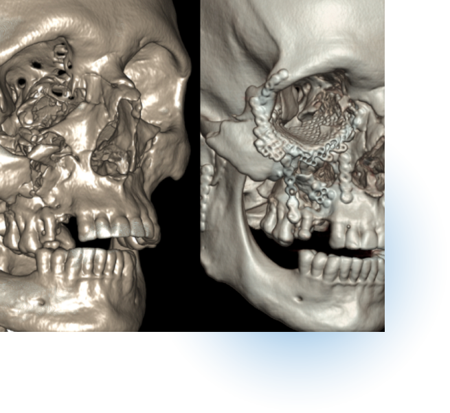
The treatment of facial traumas should be immediate. The first hours are critical to minimize any long-term effects.
Not at all. All the materials used are "biocompatible," which means they have been tested to remain and function in the human body throughout life without causing any alteration or rejection.
Yes, as long as you keep them in your mouth or in milk and you come within the first 6 hours, we can, after evaluating you, replace them and fix them with special treatment.
